
A Story of Hope: Overcoming Aspergilloma After Years of Lung Disease
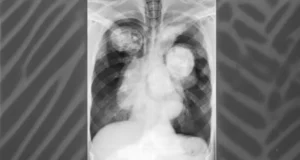
Living with a chronic lung condition can take a heavy toll—physically, emotionally, and mentally. For one patient, this struggle lasted nearly a decade. After battling
National Heart Institute, Holy Family Instititue
Sir Ganga Ram Hospital – Mon, Wed, Fri (8 AM – 10 AM) – F87 OPD Building (12 to 3 PM) at Room 2328
Thoracic Surgeon – New Delhi
MBBS, MS, Doctorate Thoracic Surgery
Read our blog articles to understand the services and support provided for various chest diseases

Living with a chronic lung condition can take a heavy toll—physically, emotionally, and mentally. For one patient, this struggle lasted nearly a decade. After battling

Hearing the words “lung cancer” can be overwhelming. For many patients, the fear of surgery and uncertainty about recovery can feel just as heavy as

The Truth About Lung Cancer Risk For many years, lung cancer has been widely associated with older individuals or those who have smoked for decades.

A hydatid cyst is a very uncommon disease and can only be contracted when parasitic eggs enter the human body. Most usually, it affects a

For patients struggling with persistent breathlessness, chest pain, or recurrent infections, everyday life can feel exhausting. Lung decortication surgery is often recommended when the lung

One of the most common fears among patients being evaluated for lung cancer is this: “Can a biopsy make my cancer spread?” It’s completely understandable

This is an easy question but it has a very significant small detail: lung cancer risk indeed is lowered radically by not smoking but still,

September 25th is World Lung Health Day, and this year’s theme is “Healthy Lungs – Healthy Life.” If you’re facing lung surgery, taking the right

भगदड़ जैसी घटनाओं में सबसे अधिक दबाव शरीर के ऊपरी हिस्से, विशेष रूप से छाती पर पड़ता है। जब लोग एक-दूसरे पर गिरते हैं या चारों ओर से दबाव पड़ता है, तो छाती की हड्डियों (पसलियों) में दरारें आ सकती हैं, फेफड़े बैठ सकते हैं या अंदरूनी रक्तस्राव हो सकता है।

Pleural effusion is a common complication in various respiratory diseases, significantly impacting patient outcomes and quality of life. This article aims to provide a comprehensive understanding of pleural effusion’s role in respiratory diseases, its diagnosis, treatment, and recent advancements in management.

Empyema, a serious condition characterised by the accumulation of pus in the pleural space, is often closely associated with various lung complications. This article aims to explore the intricate relationships between empyema and other pulmonary issues, shedding light on their interconnected nature and implications for patient care.

Breathing problems can scare anyone, particularly if you don’t know what’s causing them. Emphysema and empyema may sound alike, but these respiratory conditions differ significantly.

Lung cancer has evolved from what we once thought was a male disease. Today, we see an alarming increase in women’s cases. The numbers tell

Lung cancer is a serious health concern, and diet plays a crucial role in its prevention and management. Certain foods can potentially increase the risk of lung cancer or worsen its symptoms.

Dr. Pallavi Purwar’s distinguished career reflects her expertise in thoracic surgery and lung cancer treatment. She has got many accolades in her field.

Lung cancer is a serious health concern, and diet plays a crucial role in its prevention and management. Certain foods can potentially increase the risk of lung cancer or worsen its symptoms.

Dr Pallavi Purwar offers different treatment options available for diaphragm paralysis in Delhi. The treatment options provided delves into conservative methods, such as respiratory therapy and medication, as well as surgical procedures like diaphragmatic plication and diaphragmatic pacing.

Dr Pallavi Purwar offers different treatment options available for diaphragm paralysis in Delhi. The treatment options provided delves into conservative methods, such as respiratory therapy and medication, as well as surgical procedures like diaphragmatic plication and diaphragmatic pacing.

Dr Pallavi Purwar offers cutting-edge surgical treatment for Aspergilloma / Fungal Lung Disease, offering hope to patients grappling with this complex condition.

Are you or someone you know facing the daunting prospect of lung metastasis surgery? Do not lose hope, as advancements in modern medical technology and the expertise of Indian surgeons offer a ray of optimism in this challenging situation.