National Heart Institute, Holy Family Instititue
Sir Ganga Ram Hospital – Mon, Wed, Fri (8 AM – 10 AM) – F87 OPD Building (12 to 3 PM) at Room 2328
Thoracic Surgeon – New Delhi
MBBS, MS, Doctorate Thoracic Surgery
Chest wall tumours refer to abnormal growths or masses that develop in the tissues of the chest wall, which includes the bones, muscles, cartilage, and other structures surrounding the chest cavity. These tumours can be either benign or malignant.
Benign chest wall tumours are non-cancerous growths that do not invade nearby tissues or spread to other parts of the body. Common examples of benign chest wall tumors include osteochondromas and chondromas. These tumors typically grow slowly and are often discovered incidentally during imaging studies or physical examinations. While they are generally not life-threatening, they can cause symptoms such as pain, swelling, or discomfort depending on their size and location.
On the other hand, malignant chest wall tumours are cancerous growths that have the potential to invade nearby tissues or spread to distant sites in the body. The most common malignant chest wall tumours are sarcomas, which can arise from the bones, muscles, or other soft tissues of the chest wall. Malignant chest wall tumours require prompt medical attention and appropriate treatment to prevent further spread and manage the associated symptoms.
When it comes to the treatment of chest wall tumours, Dr. Pallavi Purwar is an excellent choice due to her expertise and experience in managing these complex conditions. As a surgeon specialising in thoracic oncology, she has a deep understanding of the intricacies of chest wall tumours and the various treatment options available.
Dr. Pallavi Purwar is an excellent choice for the surgical treatment of tracheal stenosis. She is a highly skilled and experienced surgeon who specialises in airway disorders, including tracheal stenosis. Her expertise in this field makes her well-equipped to provide the best possible care for patients with this condition.
Dr. Pallavi Purwar’s expertise in the management and treatment of chest wall tumours makes her an excellent choice for patients seeking comprehensive care. Her ability to accurately diagnose and stage tumours, coupled with her surgical proficiency, ensures that patients receive the best possible treatment outcomes. Dr. Purwar’s dedication to staying at the forefront of her field and her commitment to providing personalised care make her an invaluable asset in the fight against chest wall tumours.
Chest wall tumors can cause localized pain that may worsen with movement or pressure. The pain can be persistent and may not respond to conventional pain management strategies.
A noticeable lump or swelling may be present on the chest wall, which can be felt or seen. This can be a result of the tumor growing and displacing surrounding tissues.
Depending on the location and size of the tumour, it can compress the underlying lung or impede the movement of the chest wall, leading to breathing difficulties.
The treatment for chest wall tumors depends on several factors, including the type, location, and stage of the tumor. In general, the primary treatment approach involves surgical resection of the tumour.
Skilled in performing complex chest wall resections Dr. Purwar is skilled in performing complex chest wall resections, which may involve removing a portion of the affected bone, muscle, or other tissues. She employs meticulous surgical techniques to ensure complete tumour removal while preserving as much healthy tissue as possible.
Dedicated Patient Centered Care Dr. Purwar is known for her dedication to patient-centered care. She takes the time to thoroughly evaluate each patient's condition, considering their unique medical history and individual needs. This personalized approach ensures that the treatment plan is tailored to the specific requirements of each patient, optimising the chances of a successful outcome.
Additional Treatment Requirements In cases where the tumor is malignant or has spread to nearby structures, additional treatments such as radiation therapy or chemotherapy may be recommended. Dr. Purwar collaborates closely with a multidisciplinary team of specialists, including medical oncologists and radiation oncologists, to develop a comprehensive treatment plan tailored to each patient's specific needs.


At the core of our practice lies the belief that each patient’s journey is unique.
We are committed to understanding your specific needs and expectations, and partnering with you in devising a personalised treatment plan. Your comfort, confidence, and well-being are our utmost priorities.
Understanding Individual Needs: As a Thoracic Surgeon at Holy Family Hospital Delhi, Dr. Pallavi Purwar prioritise understanding each patient's specific needs and expectations to tailor a personalised treatment plan.
Focus on Comfort & Well Being: Our utmost priorities are ensuring our patient's comfort, instilling confidence in their treatment journey, and promoting overall well-being throughout the process.
Dr. Purwar’s core expertise lies in the accurate diagnosis and staging of chest wall tumours. This involves a thorough understanding of the various types of tumours that can affect the chest wall, including primary tumours originating in the chest wall itself, as well as secondary tumours that have spread from other parts of the body. Dr. Purwar’s expertise allows her to accurately assess the extent and nature of the tumour, which is crucial for determining the most appropriate treatment approach.
Dr. Purwar is highly skilled in the surgical management of chest wall tumours. This includes the ability to perform complex surgical procedures such as tumour resection, reconstruction of the chest wall, and removal of lymph nodes if necessary. Dr. Purwar’s meticulous attention to detail and her commitment to precision ensure that patients receive the highest quality surgical care. Additionally, she is well-versed in the latest advancements in surgical techniques and technologies, allowing her to provide patients with the most effective and minimally invasive treatment options available.
Yes, chest wall tumours can be either benign or malignant. Benign tumours, such as osteochondromas and chondromas, are non-cancerous growths that typically do not spread to other parts of the body. Malignant tumours, such as sarcomas, are cancerous and have the potential to invade nearby tissues or spread to distant sites.
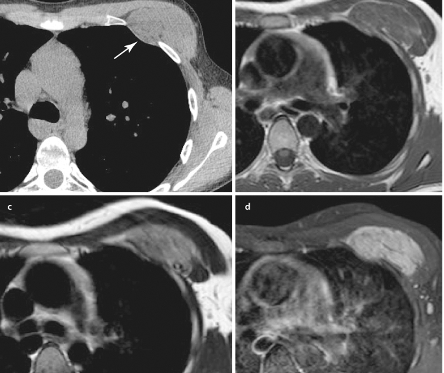
The diagnosis of chest wall tumors typically involves a combination of imaging studies, such as X-rays, CT scans, or MRI scans, to visualise the tumour and assess its extent. A biopsy, which involves taking a small sample of the tumour for examination under a microscope, is often performed to determine whether the tumour is benign or malignant.
The recovery process after chest wall tumor surgery can vary depending on the extent of the surgery and individual factors. Dr. Purwar and her team will provide detailed post-operative instructions and closely monitor your progress. Physical therapy and rehabilitation may be recommended to help restore strength and function to the chest wall. It's important to follow the recommended follow-up care and attend regular check-ups to ensure proper healing and monitor for any signs of recurrence.
